叢生の矯正歯科治療|東京都港区のBOST…

English

ご予約・お問い合わせ

03-6205-4114
キービジュアル

叢生の矯正歯科治療|東京都港区のBOSTON矯正|新橋・虎ノ門

2024年9月3日

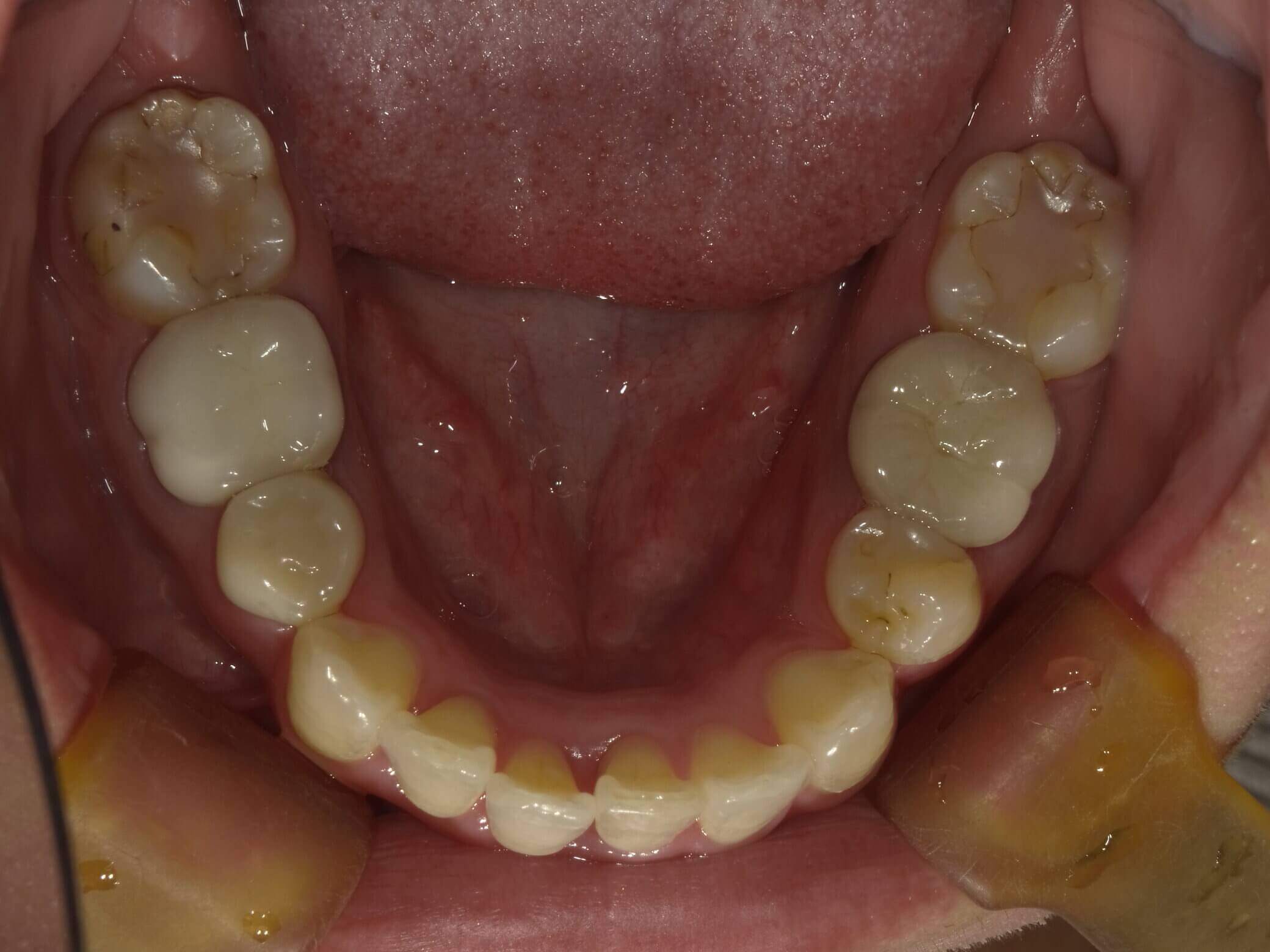
  • 治療前
  • 治療後

初めての方へ

当院では、患者さんが抱えていらっしゃるお口のお悩みや疑問・不安などにお応えする機会を設けております。どんなことでも構いませんので、私たちにお話ししていただけたらと思います。
ご興味がある方は下記からお問い合わせください。

電話番号

03-6205-4114

住所

〒105-0003
東京都港区西新橋1-9-8 南佐久間町ビル3階

LINELINEで無料相談
【平日限定】
簡易検査無料
無料カウンセリング
予約